반응형
복부ct로 알수있는질병 총정리
복부 컴퓨터단층촬영(Computed Tomography, CT)은 고해상도의 X‑ray 단면 영상을 빠르게 획득해 복부 내부 장기의 구조·질환을 정밀하게 분석하는 영상의학 검진법입니다. 초음파나 단순 X‑ray보다 해상도가 높아 미세 병변도 쉽게 확인할 수 있어 응급실·외래·건강검진센터 등에서 폭넓게 활용됩니다.


특히 간·담도·췌장·신장 같은 실질장기뿐 아니라 장관·혈관·복막까지 한 번에 관찰할 수 있다는 점이 최대 장점입니다.
복부 CT란 무엇인가


- 정의
- X‑ray 튜브가 360° 회전하며 연속 촬영한 다수의 단면 영상을 컴퓨터로 재구성
- 0.5 mm 이하 두께의 고해상도 횡단면·관상면·시상면·3D 재구성 가능
- 검사 목적
- 복부 통증·체중 감소·황달·혈뇨·혈변·복부 외상 등의 원인 규명
- 종양 스테이징·감염 범위 확인·혈관 질환 스크리닝
- 수술·인터벤션 시술 전 해부학적 지도 제작
- 조영 증강
- 요오드 조영제를 정맥 주입해 혈관·염증·종양의 조영 패턴 확인
- 간동맥기, 문맥기, 지연기 등 다상 촬영으로 병변 감별력을 향상
주요 복부ct로 알수있는질병
본 글에서는 복부ct로 알수있는질병을 장기별·질환군별로 상세히 소개하고, 검사 전 준비와 판독 시 유의사항, 한계점까지 종합적으로 정리하였습니다.


간·담도계
- 간 종양
- 양성: 간혈관종, 국소결절성과증식(FNH), 간선종
- 악성: 간세포암(HCC), 담관암(ICC), 전이암(Colon, Breast, Lung 등)
- 간 비종양성 질환
- 지방간·비알코올성 지방간염(NASH)
- 간농양·간낭종·진균감염
- Budd‑Chiari 증후군(정맥 폐쇄)
- 담도 및 담낭 질환
- 급·만성 담낭염, 담낭결석, 담낭용종
- 담도결석·담도협착·담도염, Klatskin 종양
- 담낭암·담관암 스테이징


췌장
- 췌장염
- 급성 췌장염(부종형·괴사형) 및 합병증: 가성낭종, 출혈, 종격동 누공
- 만성 췌장염: 석회화, 위축, 담도 협착
- 췌장 종양
- 췌장암(PDAC) 혈관 침윤·전이 평가
- 신경내분비종양(NET)·IPMN·MCN·SPN
- 전이성 종양·림프종
비장
- 비장비대(감염·혈액질환·간문맥 고혈압)
- 비장경색(혈전·혈관염)
- 비장외상(열상·파열·혈종)
- 비장종양(혈관종·림프종·전이암)

신장·부신·요로
- 신장 질환
- 신세포암(투명세포·유두형·크롬포브) 스테이징
- 요로결석·신우신염·농양
- 유두괴사·단순·복합 신낭종(Bosniak 분류)
- 부신 질환
- 선종·갈색세포종·피질암·전이암
- 부신출혈·부신피질과증식
- 요로 질환
- 요관·방광 결석 위치·크기·수신증
- 요관암, 방광암 침윤 깊이

위장관
- 위·십이지장
- 위암 조기·진행 병기, 위림프종, GIST
- 천공·출혈·염증(위염·십이지장염)
- 소장
- 크론병, 거대결장증, 이소성 지방, 장중첩
- 소장종양(GIST·선암·카르시노이드)
- 대장
- 대장암 국소 침윤 깊이·전이·림프절 충만도
- 궤양성 대장염·허혈성 장염·게실염 합병증
- 대장폐색·장축염전 위치 파악
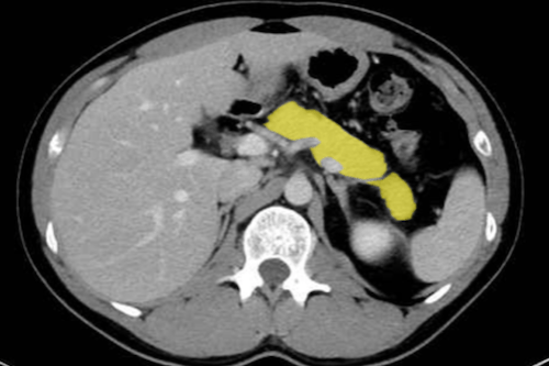
혈관·림프계
- 복부 대동맥류(AAA) 직경·혈전·누출
- 내장동맥(간·장간막·신동맥) 협착·박리·가성동맥
- 문맥 고혈압: 비장정맥·문맥 혈전·곁순환
- 림프절 비대: 전이·림프종·결핵·염증 림프절
복막·복강·복막 뒤 공간
- 복막 전이(ovarian, gastric, colon cancer)
- 복막염(결핵성·세균성·진균성)
- 복강 내 농양, 장염·반응성 복수
- 복막 뒤 종양(지방육종·신경근육종), 대동맥 주변 림프절
기타 응급 상황
- 외상성 장기 파열·혈복강·간파열·비장파열
- 장간막 혈관 손상·허혈·폐색
- 장 천공·복막염·복부 종창 원인 감별


복부 CT의 장점과 한계
- 장점
- 단일 촬영으로 복부 전 장기 평가
- 3차원 재구성으로 혈관·담도·췌관 해부학 확인
- 응급 상황에서 빠른 촬영으로 즉시 처치 안내
- 한계
- 방사선 피폭: 5‑15 mSv 수준으로 소아·임산부 제한
- 요오드 조영제 알레르기·신독성 위험
- 기능적 정보(담도 운동, 장 연동 등)는 제한적
- 세밀한 점막변화·미세 출혈은 내시경 대비 민감도 낮음

검사를 고려해야 하는 상황
- 지속·심한 복통, 원인 모를 체중 감소
- 황달·간효소 상승·혈뇨·혈변·소화관 출혈 의심
- 암 진단 후 병기 결정 및 치료 반응 모니터링
- 복부 외상 후 장기 손상 여부 확인
- 혈관 질환(동맥류·혈전) 스크리닝
검사 과정 및 준비
- 최소 6시간 금식, 필요시 구강 조영제(물·희석 바륨) 복용
- 기존 신기능·갑상선 기능·조영제 알레르기 이력 확인
- 금속 물품 제거, 조영제 정맥 투여 후 다상 촬영
- 검사 시간 5‑10분, 실제 스캔은 10‑20초 내외
복부 CT 판독 시 주의할 점
- 환자 연령·기저 질환·약물 복용력에 따른 부작용 모니터링
- 장기별 조영 패턴(동맥기·문맥기·지연기) 비교
- 간·췌장 종양은 크기뿐 아니라 ★혈관 침윤★ 여부 확인
- 결석·종양 위치와 주변 구조 관계 파악해 수술 계획 지원
- 과소 진단 방지 위해 복강·복막·복막 뒤 공간 꼼꼼한 스크롤 필수
결론
복부 CT는 다장기 복합 구조를 한 번에 확인할 수 있는 강력한 영상 진단 도구로, 종양·염증·혈관·외상성 질환을 조기에 발견하고 치료 전략을 수립하는 데 핵심적인 역할을 합니다. 다만 방사선 피폭과 조영제 부작용 가능성을 항상 염두에 두고, 환자 개별 상황에 따라 초음파·MRI·내시경 등 보완 검사를 적절히 조합하는 것이 중요합니다. 정밀하고 체계적인 판독을 위해서는 영상의학 전문의와의 긴밀한 협진이 필수이며, 환자 역시 사전 준비와 검사 후 주의사항을 숙지해 최적의 진단 결과를 얻기 바랍니다.
반응형
'건강, 효능, 질환' 카테고리의 다른 글
| 황색 포도알균 치료, 황색포도상구균? (0) | 2025.08.05 |
|---|---|
| 벌나무 효능 (0) | 2025.07.30 |
| 개비스콘 효능, 게비스콘 부작용, 복용 권장 사항 (0) | 2025.07.20 |
| 잔나비 불로초 효능, 소나무 잔나비 걸상버섯 복용 방법 (0) | 2025.07.08 |
| 보이차 효능과 부작용 (0) | 2025.07.05 |