발가락 골절 완치기간, 스플린트: 손가락 뼈에 금이 가면 깁스 치료는 필요한가
발가락 골절의 원인과 특징
발가락 골절은 단순히 ‘발을 부딪쳤다’거나 ‘무거운 물건이 떨어졌다’는 사소한 사고로도 흔히 발생합니다. 특히 운동 중 충격이나 일상적인 낙상에서도 손쉽게 생기며, 뼈가 완전히 부러지지 않아도 미세한 균열(골절선)이 생기면 통증과 부종이 발생합니다. 대부분의 경우 5번째 새끼발가락이나 1번째 엄지발가락 부위에 발생하는데, 이 부위는 체중이 실리는 압력이 크고 충격을 직접적으로 받기 쉽기 때문입니다.

발가락 골절은 크게 비전위성 골절(금이 간 정도)과 전위성 골절(뼈가 어긋난 경우)로 나뉘며, 치료 방법과 발가락 골절 완치기간이 이 구분에 따라 달라집니다.
발가락 골절 완치기간
발가락 골절의 완치기간은 골절의 위치, 정도, 연령, 치료 방법 등에 따라 다르지만 일반적으로 4주에서 6주 정도로 보고됩니다. 뼈가 어긋나지 않은 비전위성 골절이라면 3~4주 안에 어느 정도 유합이 일어나고, 전위가 동반된 경우에는 6주 이상 걸리기도 합니다.
초기에는 부종과 통증이 심해 걷기가 힘들 수 있지만, 스플린트(고정 보조기)를 착용하거나 테이핑을 통해 주변 발가락과 함께 고정하면 비교적 빠르게 통증이 줄어듭니다. 골절 부위가 유합되는 기간 동안은 체중을 최소화하고, 보행 시 보호신발(워킹부츠)이나 지지대를 사용하는 것이 회복을 앞당기는 핵심입니다.



단, 완치라 하더라도 뼈 유합 후 1~2주간은 관절이 굳거나 근력이 약해진 상태이므로, 가벼운 스트레칭과 발가락 움직임 운동을 통해 재활을 병행해야 합니다. 완치까지 평균 6주, 완전한 기능 회복까지는 약 8주 내외로 잡는 것이 일반적입니다.


발가락 골절의 스플린트 치료
스플린트(Splint)는 골절 부위를 일시적으로 고정하는 보조기구로, 깁스보다 가볍고 환자의 움직임이 일부 허용되는 장점이 있습니다. 발가락 골절의 경우, 대부분이 비전위성 골절로 수술 없이 스플린트 고정만으로 충분히 치료가 가능합니다.
스플린트는 알루미늄 혹은 플라스틱 재질의 판에 부드러운 패드를 덧댄 형태로, 부상 부위에 맞게 모양을 조정한 뒤 탄력 붕대로 감아 고정합니다. 일반적으로 2~3주간 착용 후 엑스레이(X-ray) 검사를 통해 유합 상태를 확인하고, 필요 시 추가 1~2주간 연장할 수 있습니다.



이 기간 동안은 가능한 체중 부하를 최소화해야 하며, 통증이 완화되었다고 해서 너무 일찍 스플린트를 제거하면 재골절이나 변형이 생길 수 있습니다. 스플린트 착용 중에는 부종 완화를 위해 다리를 심장보다 높게 두고, 하루 2~3회 얼음찜질을 병행하는 것이 좋습니다.
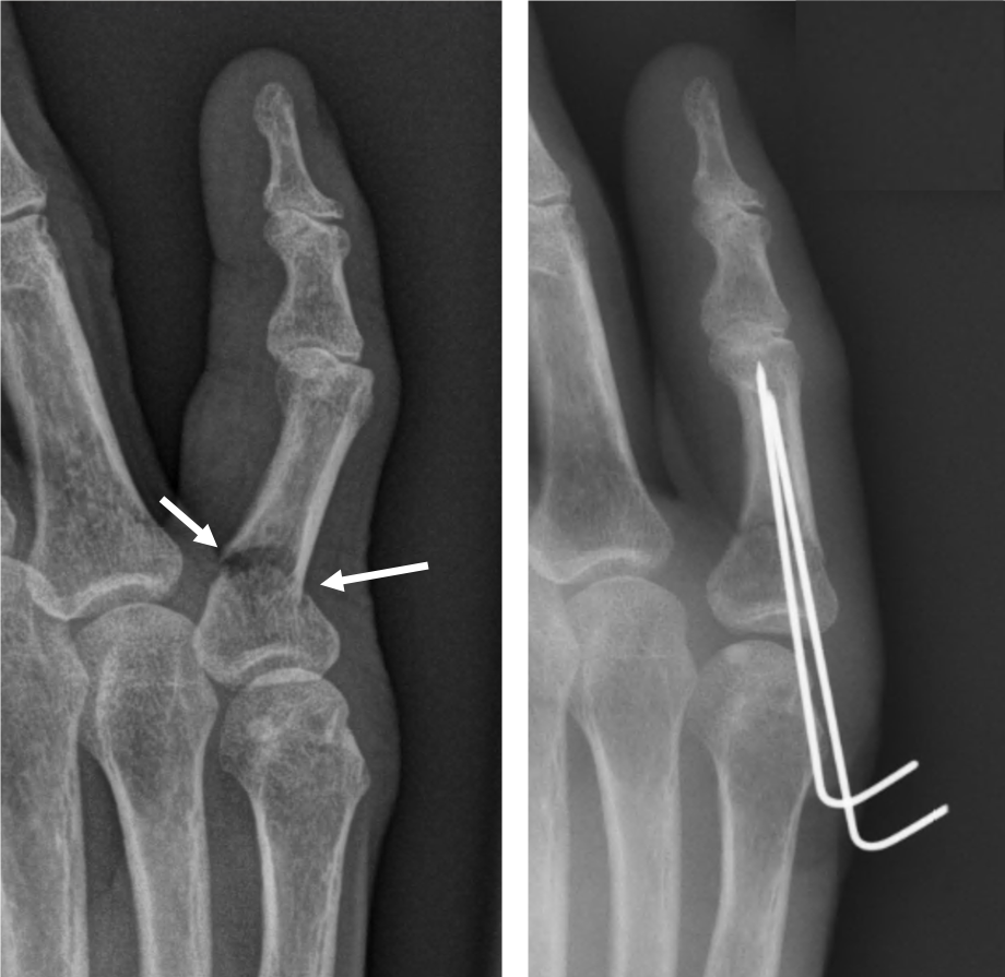
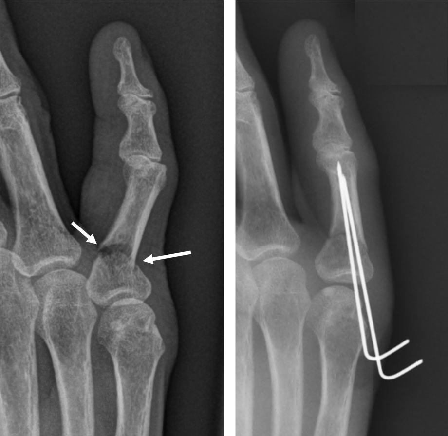
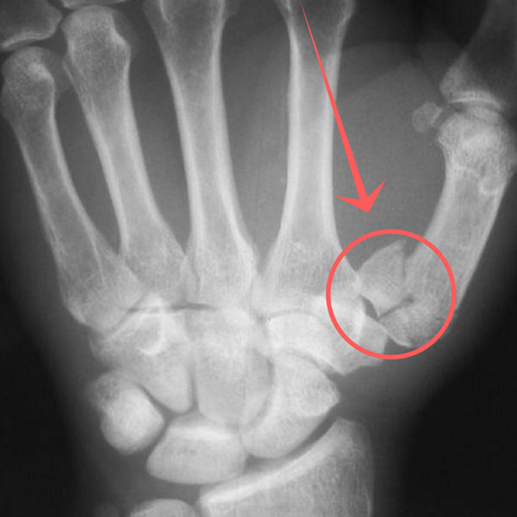
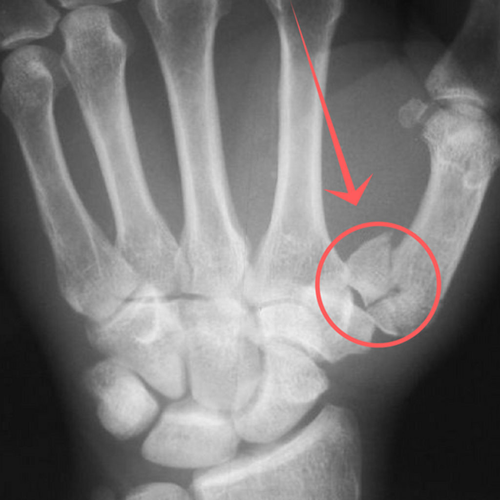
손가락 골절의 특징
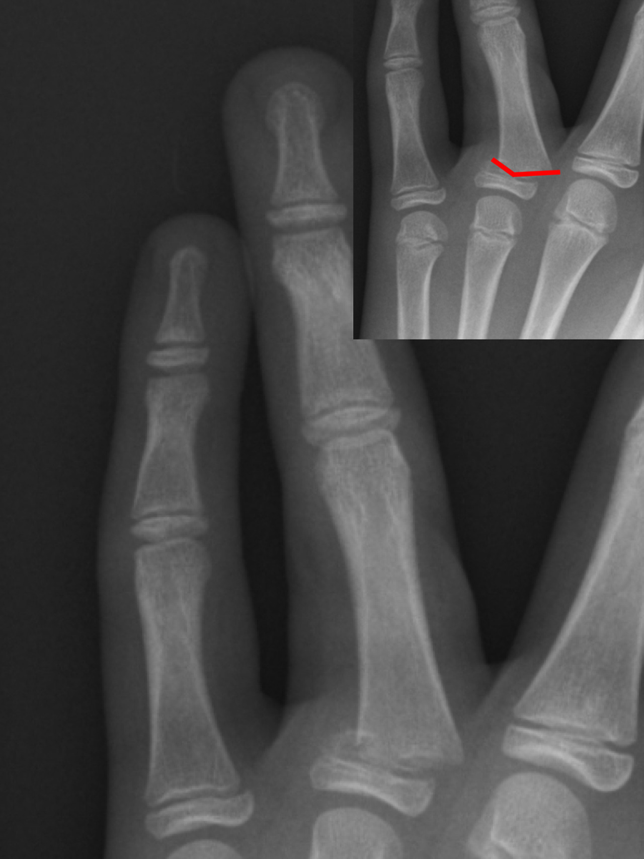
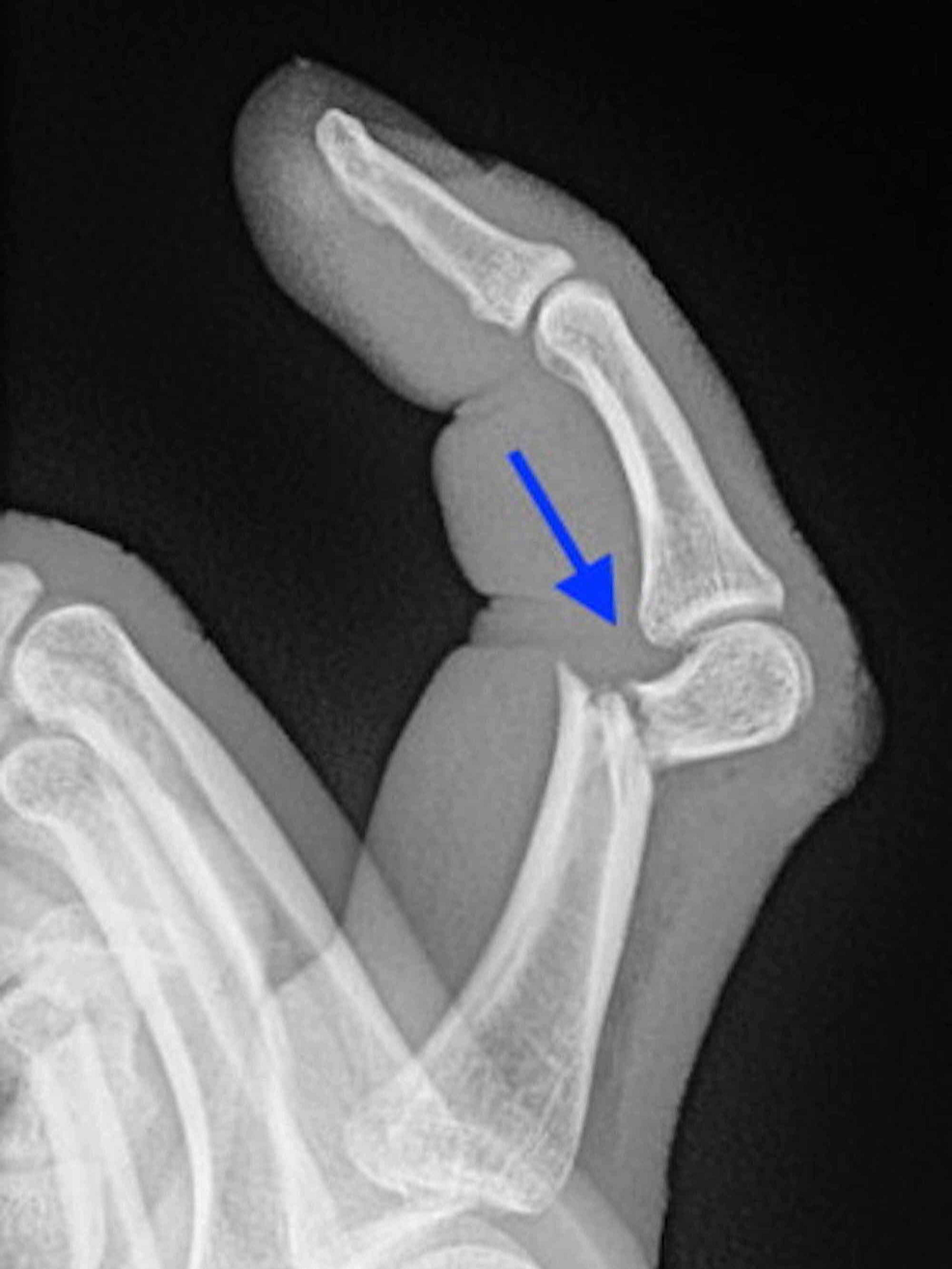
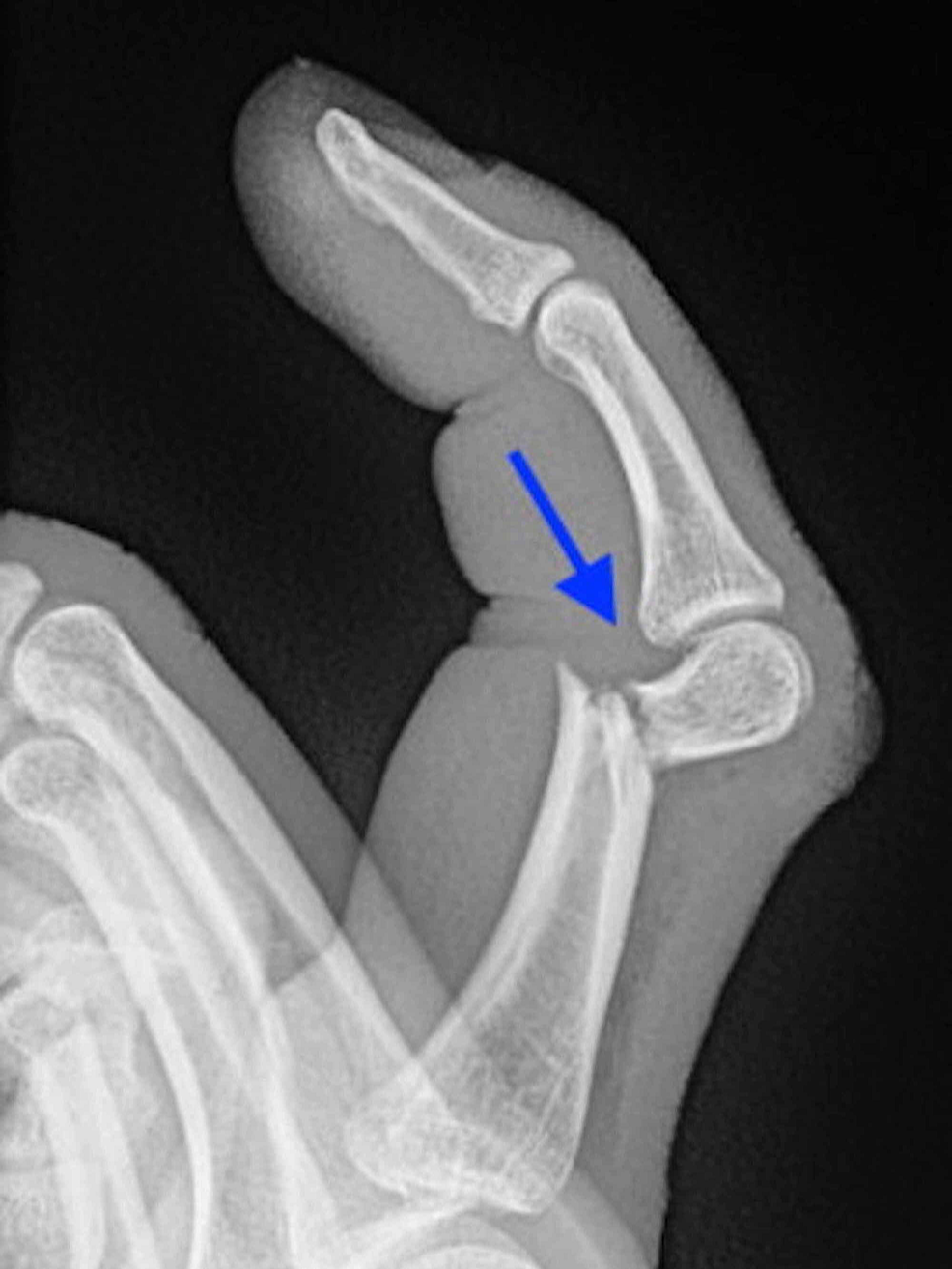
손가락 골절 역시 일상생활에서 매우 흔하게 발생하는 부상입니다. 문에 손이 끼이거나, 운동 중 공에 맞는 충격, 낙상 시 손을 짚으면서 생기는 골절이 대표적입니다. 손가락의 작은 관절은 뼈가 가늘고 인대가 밀집되어 있어 손상 시 통증이 크며, 방치하면 관절이 굳거나 변형되는 경우도 있습니다.

손가락 골절은 기저부(base) 골절, 중간부(shaft) 골절, 관절면(intra-articular) 골절 등으로 나뉘며, 특히 관절면을 침범한 골절은 기능적 후유증이 남을 위험이 높습니다. 따라서 엑스레이 검사로 정확한 위치와 손상 정도를 파악하고, 필요 시 CT나 초음파로 인대 손상 여부를 함께 확인해야 합니다.
손가락 골절 완치기간
손가락 뼈는 작지만 혈류가 풍부해 비교적 빠르게 회복되는 편입니다. 그러나 움직임이 많고 관절 구조가 복잡하기 때문에 손가락 골절 완치기간에는 신중을 기해야 합니다.

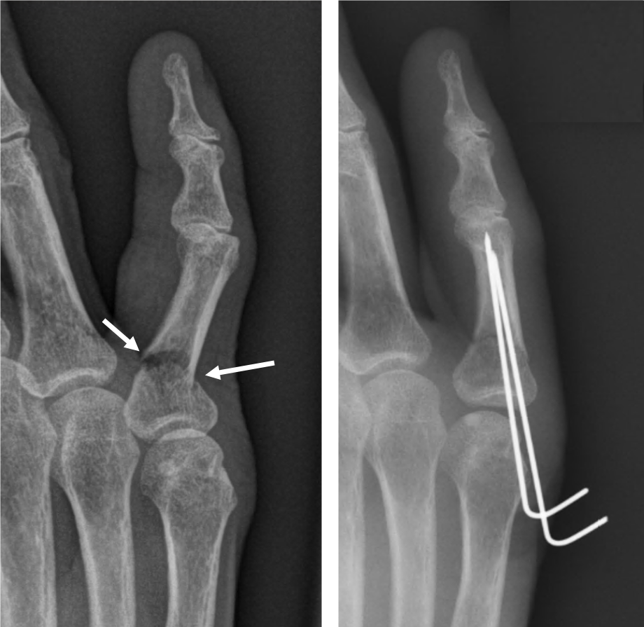
비전위성 골절(뼈가 어긋나지 않은 경우)은 대체로 3~4주 내에 유합이 일어나며, 스플린트나 테이핑으로 충분히 치료가 가능합니다. 반면 전위성 골절은 뼈가 틀어진 상태로 남으면 손가락이 휘거나 굽힘 제한이 생길 수 있어, 경우에 따라 핀 고정(수술)이 필요합니다. 수술을 시행한 경우에는 6~8주 정도의 회복 기간이 필요하며, 이후 관절 가동 범위를 회복하기 위한 물리치료가 필수입니다.
완치 후에도 근육 위축이나 관절 강직을 방지하기 위해 꾸준한 재활이 중요하며, 일반적으로 완전 회복까지는 2개월 내외가 소요됩니다.


손가락 골절 스플린트 치료
손가락 스플린트는 손가락 전체를 감싸지 않고, 관절 움직임을 최소화하면서도 혈류를 유지하도록 설계됩니다. 종류는 다양하지만 대표적으로 다음과 같습니다.
- 알루미늄 스플린트: 가장 흔한 형태로, 부상 부위에 맞게 구부려 고정합니다.
- 버디 테이핑(Buddy Taping): 다친 손가락을 인접한 손가락과 함께 테이핑해 서로 지지하게 하는 방법입니다. 경미한 골절이나 인대 손상 시 사용합니다.
- 몰딩 스플린트(Molding Splint): 실리콘 혹은 열성형 재질로 맞춤 제작되어, 움직임을 최소화하며 장시간 착용에 적합합니다.
보통 3~4주간 착용 후 X-ray 재검을 통해 유합 상태를 확인하며, 이후에는 단계적으로 관절 운동을 시작합니다. 초기 2주는 절대적 안정이 필요하고, 그 이후부터는 손가락 구부리기 운동을 서서히 병행해야 굳음(강직)을 막을 수 있습니다.


손가락 뼈에 금이 가면 깁스 치료는 필요한가?
손가락에 금이 갔을 때 무조건 깁스를 해야 하는 것은 아닙니다. 뼈가 어긋나지 않은 단순 골절이라면 스플린트나 버디 테이핑만으로도 충분히 치료가 가능합니다. 깁스는 뼈가 크게 전위되었거나, 여러 조각으로 부서졌을 때, 혹은 골절선이 관절면을 침범해 안정적인 고정이 필요한 경우에만 시행합니다.
깁스 치료는 손가락 전체뿐 아니라 손목까지 함께 고정하는 경우가 많아, 일상생활의 불편함이 크기 때문에 최소한의 범위에서 적용합니다. 또한 깁스를 너무 오래 유지하면 근육 위축과 관절 운동 제한이 발생할 수 있으므로, 대개 4주 내외로 제한하며 이후에는 스플린트로 전환해 가벼운 재활을 시작합니다.

손가락에 금이 갔을 때 중요한 것은 정확한 진단입니다. 단순히 통증이 있다고 해서 자가진단으로 테이핑만 하는 것은 위험하며, 반드시 엑스레이 검사를 통해 뼈의 정렬 상태와 골절선을 확인해야 합니다.
발가락과 손가락 골절의 공통 관리 방법
- 초기 냉찜질: 부상 직후 24~48시간은 냉찜질로 부기와 통증을 줄입니다.
- 안정 및 고정: 가능한 한 움직이지 않게 유지하고, 스플린트나 붕대로 고정합니다.
- 심장보다 높게 유지: 부종 방지를 위해 다리나 손을 심장보다 높게 두는 것이 좋습니다.
- 통증 조절: 필요 시 진통제를 복용하고, 통증이 심하면 의료진 상담을 통해 약물 조절을 합니다.
- 체중 부하 금지: 발가락 골절의 경우 최소 2주간은 체중을 싣지 않도록 주의합니다.
- 재활 치료 병행: 고정 해제 후에는 즉시 가벼운 관절 운동을 시작해야 관절이 굳는 것을 예방할 수 있습니다.



합병증과 주의사항
골절 치료가 늦어지거나 부적절하게 이루어질 경우 변형 유합, 관절 강직, 신경 손상, 만성 통증 등의 합병증이 생길 수 있습니다. 특히 손가락은 일상생활과 직결된 부위이므로, 조기 진단과 정밀한 고정이 중요합니다.
발가락 골절의 경우에는 뼈가 어긋나 유합되면 걸음걸이가 비틀리거나 신발 착용 시 통증이 지속될 수 있으므로, 4주차에 X-ray 재검을 반드시 받아야 합니다. 또한 당뇨병이나 골다공증 환자는 회복이 느리기 때문에, 일반인보다 1~2주 더 긴 고정 및 재활 기간이 필요합니다.
결론


발가락과 손가락 골절은 일상에서 흔하게 발생하지만, 조기 진단과 적절한 고정 치료만 이루어진다면 대부분 후유증 없이 회복됩니다. 뼈에 금이 간 경우라고 해도 무조건 깁스를 해야 하는 것은 아니며, 스플린트나 테이핑만으로도 충분한 경우가 많습니다. 중요한 것은 ‘어긋남 여부’와 ‘관절 침범 여부’를 정확히 파악하는 것입니다. 발가락은 평균 4~6주, 손가락은 3~4주 내외면 유합이 가능하며, 이후 재활까지 포함하면 약 2개월이면 일상 복귀가 가능합니다. 통증이 가라앉더라도 너무 일찍 고정을 해제하거나 무리한 사용은 재골절을 초래할 수 있으므로, 반드시 의료진의 지시에 따라 회복 단계를 밟는 것이 완치의 지름길입니다.
'건강, 효능, 질환' 카테고리의 다른 글
| LDL 콜레스테롤 이란 (0) | 2025.11.03 |
|---|---|
| 위내시경 조직검사 하는 이유 (0) | 2025.10.29 |
| 수족구병 증상 및 예방 조치 - 어른 전염? (0) | 2025.10.11 |
| 남자 평균수명 및 남성·여자 수명 차이: 한국·러시아·OECD 비교 (0) | 2025.10.06 |
| 코로나 재유행 증상 기간 (0) | 2025.10.04 |